News
Serena's setback raises questionsWilliams reportedly suffered from a pulmonary embolism last week and, in the wake of that, doctors treated her for a hematoma. "Tough day …" Serena tweeted Tuesday around 11 pm, California time. That would seem to be a massive understatement. ... read more
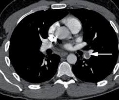
Health notes: Pulmonary embolism
A pulmonary embolism or blood clot on the lungs is a serious and potentially life-threatening condition. However, if treated, most patients will make a full recovery. A pulmonary embolism is a blood clot that has entered the lungs. ... read more
Raised Risk of Pulmonary Embolism in Specific Cancers
The risk of pulmonary embolism is significantly higher for outpatients with central nervous system, pancreatic, upper gastrointestinal, and lung/pleural malignancies, and lower for hematological and breast malignancies, according to a study published ... read more










No comments:
Post a Comment